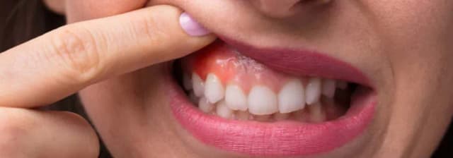
Opuchlizna dziąseł to problem, który może dotknąć każdego z nas, a jego przyczyny mogą być różnorodne. Często wynika ona z nieprawidłowej higieny jamy ustnej, infekcji bakteryjnych, a także zmian hormonalnych czy wyrzynania zębów mądrości. Warto wiedzieć, że odpowiednia pielęgnacja jamy ustnej oraz zastosowanie domowych sposobów mogą znacząco zmniejszyć obrzęk i przynieść ulgę w bólu.
W artykule przedstawimy skuteczne metody, które pomogą w walce z opuchlizną dziąseł. Dowiesz się, jak przygotować płukanki do jamy ustnej, jakie zimne okłady stosować oraz kiedy warto skonsultować się z dentystą. Pamiętaj, że ignorowanie objawów może prowadzić do poważniejszych problemów zdrowotnych, dlatego warto działać szybko i skutecznie.Najważniejsze informacje:
- Opuchlizna dziąseł może być spowodowana infekcjami, zapaleniem lub nieprawidłową higieną jamy ustnej.
- Regularne szczotkowanie i nitkowanie zębów są kluczowe w zapobieganiu problemom z dziąsłami.
- Domowe płukanki z soli, szałwii czy rumianku mają działanie przeciwzapalne i antyseptyczne.
- Zimne okłady mogą przynieść ulgę w bólu i zmniejszyć obrzęk.
- W przypadku silnego bólu, gorączki lub narastającego obrzęku, należy niezwłocznie skonsultować się z dentystą.
Domowe sposoby na szybkie zmniejszenie opuchlizny dziąseł
Opuchlizna dziąseł to problem, który może być nie tylko bolesny, ale także nieprzyjemny. Istnieją skuteczne domowe sposoby, które mogą pomóc w szybkim zmniejszeniu obrzęku. Dwa z najpopularniejszych to płukanki z soli oraz zimne okłady, które działają łagodząco i przynoszą ulgę w bólu.
Płukanki z soli są proste w przygotowaniu i mogą być stosowane regularnie, aby złagodzić objawy. Z kolei zimne okłady mogą pomóc w natychmiastowym zmniejszeniu obrzęku i bólu. Warto znać te metody, aby móc szybko zareagować w przypadku problemów z dziąsłami.
Płukanki z soli – naturalny sposób na redukcję opuchlizny
Aby przygotować płukankę z soli, wystarczy rozpuścić 1-2 łyżeczki soli w szklance ciepłej wody. Płukankę należy stosować 2-3 razy dziennie, najlepiej po posiłkach. Płukanie jamy ustnej solą działa antybakteryjnie i przeciwzapalnie, co przyspiesza proces gojenia.
Korzyści płynące z użycia płukanki z soli obejmują zmniejszenie bólu, łagodzenie stanu zapalnego oraz usuwanie bakterii z jamy ustnej. Należy jednak pamiętać, aby nie stosować tej metody zbyt często, ponieważ nadmiar soli może podrażnić błonę śluzową. Osoby z nadciśnieniem powinny skonsultować się z lekarzem przed użyciem tej metody.
Zimne okłady – jak skutecznie przynieść ulgę
Zimne okłady to prosty sposób na złagodzenie bólu i zmniejszenie opuchlizny. Aby je zastosować, należy owinąć lód lub woreczek z mrożonymi warzywami w ręcznik i przyłożyć do policzka w okolicy opuchlizny na 15-20 minut. Można powtarzać tę czynność co kilka godzin, aby uzyskać najlepsze efekty.
Stosowanie zimnych okładów przynosi natychmiastową ulgę, zmniejszając obrzęk oraz ból. Jest to szczególnie pomocne w przypadku urazów czy po zabiegach stomatologicznych. Należy jednak unikać bezpośredniego kontaktu lodu ze skórą, aby nie spowodować odmrożeń.
Higiena jamy ustnej jako klucz do zdrowych dziąseł
Odpowiednia higiena jamy ustnej jest kluczowa w zapobieganiu opuchliźnie dziąseł. Regularne szczotkowanie zębów oraz nitkowanie pomagają usunąć płytkę nazębną i resztki pokarmu, które mogą prowadzić do stanów zapalnych. Zaleca się szczotkowanie zębów co najmniej dwa razy dziennie, a także po każdym posiłku, aby zminimalizować ryzyko problemów z dziąsłami.
Warto zwrócić uwagę na technikę szczotkowania — należy używać miękkiej szczoteczki i delikatnie masować dziąsła, aby nie wywołać podrażnień. Prawidłowe szczotkowanie nie tylko poprawia zdrowie jamy ustnej, ale również wpływa na ogólne samopoczucie i komfort.
Techniki szczotkowania i nitkowania dla lepszej higieny
Aby skutecznie szczotkować zęby, należy stosować ruchy okrężne oraz unikać zbyt dużego nacisku, co może prowadzić do uszkodzenia dziąseł. Zastosowanie pasty do zębów z fluorem wzmacnia szkliwo i chroni przed próchnicą. Warto również pamiętać o nitkowaniu, które pozwala na dotarcie do trudno dostępnych miejsc między zębami.
Nitkowanie zębów powinno być wykonywane przynajmniej raz dziennie, najlepiej przed snem. Używając nici dentystycznej, należy delikatnie przesuwać ją wzdłuż zębów, aby usunąć resztki pokarmu i płytkę nazębną. Regularne nitkowanie znacząco przyczynia się do zdrowia dziąseł i zmniejsza ryzyko ich opuchlizny.
Wybór odpowiednich produktów do pielęgnacji jamy ustnej
Wybierając pastę do zębów, warto zwrócić uwagę na składniki aktywne, takie jak fluor, który wzmacnia szkliwo zębów. Dobrze jest również wybierać pasty z dodatkowymi składnikami, które pomagają w redukcji stanów zapalnych, na przykład pasty zawierające aloes lub ekstrakt z rumianku.
Podobnie, wybór płynów do płukania jamy ustnej jest istotny. Płyny z antybakteryjnymi składnikami mogą pomóc w utrzymaniu zdrowia dziąseł. Przy wyborze płynu warto zwrócić uwagę na etykiety, aby upewnić się, że produkt nie zawiera alkoholu, który może podrażnić błonę śluzową jamy ustnej.
| Rodzaj szczoteczki | Efektywność |
| Szczoteczka manualna | Skuteczna, wymaga dobrej techniki szczotkowania |
| Szczoteczka elektryczna | Skuteczniejsza w usuwaniu płytki nazębnej, łatwiejsza w użyciu |
Czytaj więcej: Jak wyglądają dziąsła przy ząbkowaniu – zdjęcia i objawy, które musisz znać

Przyczyny opuchlizny dziąseł i ich znaczenie dla zdrowia
Opuchlizna dziąseł może być wynikiem różnych czynników, w tym infekcji oraz czynników ryzyka. Infekcje bakteryjne, takie jak zapalenie dziąseł, są jednymi z najczęstszych przyczyn obrzęku. Bakterie gromadzące się w płytce nazębnej mogą prowadzić do stanu zapalnego, co skutkuje bólem i opuchlizną. Ignorowanie tych infekcji może prowadzić do poważniejszych problemów zdrowotnych, w tym do chorób przyzębia.
Oprócz infekcji, istnieją także różne czynniki ryzyka, które mogą przyczynić się do opuchlizny dziąseł. Należą do nich niezdrowa dieta, palenie tytoniu, stres oraz zmiany hormonalne. Te czynniki mogą osłabiać układ odpornościowy i zwiększać podatność na infekcje, co z kolei prowadzi do stanów zapalnych w jamie ustnej.
Infekcje i stany zapalne – jak wpływają na dziąsła
Infekcje, takie jak zapalenie dziąseł i zapalenie przyzębia, są najczęstszymi przyczynami opuchlizny dziąseł. W przypadku zapalenia dziąseł, bakterie gromadzą się w płytce nazębnej, co prowadzi do podrażnienia i stanu zapalnego. Z kolei zapalenie przyzębia to bardziej zaawansowany stan, który może prowadzić do utraty zębów, jeśli nie zostanie odpowiednio leczony.
Objawy infekcji dziąseł obejmują nie tylko opuchliznę, ale również krwawienie podczas szczotkowania, nieprzyjemny zapach z ust oraz ból. W przypadku wystąpienia tych objawów, ważne jest, aby niezwłocznie skonsultować się z dentystą, aby uniknąć poważniejszych komplikacji zdrowotnych.
Czynniki ryzyka – co może prowadzić do opuchlizny
Istnieje wiele czynników ryzyka, które mogą prowadzić do opuchlizny dziąseł. Palenie tytoniu jest jednym z głównych powodów, który osłabia układ odpornościowy i zwiększa podatność na infekcje. Ponadto, niezdrowa dieta, uboga w witaminy i minerały, może przyczynić się do osłabienia dziąseł. Stres również odgrywa istotną rolę, gdyż może wpływać na stan zdrowia jamy ustnej, prowadząc do stanów zapalnych.
Aby zminimalizować ryzyko opuchlizny dziąseł, warto wprowadzić kilka prewencyjnych działań. Regularne wizyty u dentysty oraz dbanie o zdrową dietę bogatą w witaminy C i D mogą pomóc w utrzymaniu zdrowych dziąseł. Ponadto, unikanie palenia oraz radzenie sobie ze stresem poprzez techniki relaksacyjne mogą znacząco wpłynąć na zdrowie jamy ustnej. Warto również pamiętać o nawadnianiu organizmu, co wspiera funkcjonowanie całego układu odpornościowego.
Objawy wymagające natychmiastowej interwencji dentystycznej
Niektóre objawy wskazują na konieczność natychmiastowej wizyty u dentysty. Należą do nich silny ból dziąseł, który nie ustępuje, opuchlizna towarzysząca gorączce, a także krwawienie z dziąseł, które nie ustaje po szczotkowaniu. Inne niepokojące objawy to nieprzyjemny zapach z ust oraz trudności w jedzeniu lub mówieniu spowodowane bólem. Ignorowanie tych symptomów może prowadzić do poważnych problemów zdrowotnych, takich jak ropnie czy infekcje, które mogą wymagać bardziej skomplikowanego leczenia.
Niebezpieczeństwo związane z zaniedbaniem tych objawów jest poważne. Nieleczone infekcje mogą prowadzić do rozprzestrzenienia się bakterii w organizmie, co zagraża zdrowiu ogólnemu. Może to skutkować utrata zębów oraz powikłaniami, które wymagają interwencji chirurgicznej. Dlatego ważne jest, aby nie zwlekać z wizytą u dentysty w przypadku wystąpienia tych objawów.
Jak przygotować się do wizyty u dentysty z opuchlizną dziąseł
Przygotowanie do wizyty u dentysty, gdy występuje opuchlizna dziąseł, jest kluczowe dla skutecznej diagnozy i leczenia. Należy zabrać ze sobą wszelkie informacje o objawach, takie jak czas ich wystąpienia, intensywność bólu oraz inne towarzyszące symptomy. Warto również przygotować listę leków, które aktualnie przyjmujemy, oraz wszelkie wcześniejsze wyniki badań stomatologicznych, które mogą być pomocne w ocenie stanu zdrowia.
Podczas wizyty warto zadawać pytania dotyczące przyczyn opuchlizny, możliwych metod leczenia oraz zalecanej pielęgnacji po zabiegu. Pytania takie jak „Jakie są możliwe komplikacje?” lub „Jak długo potrwa leczenie?” mogą pomóc w zrozumieniu procesu i oczekiwań związanych z dalszym leczeniem. Dobrze jest być dobrze poinformowanym pacjentem, co ułatwi komunikację z dentystą i pozytywnie wpłynie na proces leczenia.
Nowoczesne technologie w leczeniu opuchlizny dziąseł
W dobie postępu technologicznego, nowe metody leczenia opuchlizny dziąseł stają się coraz bardziej dostępne. Jednym z innowacyjnych rozwiązań są terapie laserowe, które pozwalają na precyzyjne usuwanie zainfekowanej tkanki i stymulowanie procesów gojenia. Laseroterapia nie tylko redukuje ból i obrzęk, ale również przyspiesza regenerację dziąseł, co czyni ją atrakcyjną opcją dla pacjentów z przewlekłymi problemami stomatologicznymi.
Kolejnym interesującym kierunkiem są inteligentne urządzenia do monitorowania zdrowia jamy ustnej, które mogą pomóc w prewencji opuchlizny. Urządzenia te, wyposażone w czujniki, mogą analizować nawyki higieniczne oraz wykrywać wczesne objawy zapalenia dziąseł. Dzięki aplikacjom mobilnym użytkownicy otrzymują spersonalizowane porady dotyczące pielęgnacji jamy ustnej, co może znacząco zmniejszyć ryzyko wystąpienia problemów zdrowotnych związanych z dziąsłami.
