- Antybiotyki na zapalenie dziąseł są przepisywane głównie w cięższych przypadkach infekcji bakteryjnych.
- Najczęściej stosowane leki to amoksycylina, klindamycyna i metronidazol, ale wybór zależy od indywidualnych potrzeb pacjenta.
- Skutki uboczne antybiotyków mogą obejmować problemy żołądkowe, alergie lub osłabienie organizmu.
- Domowe sposoby, takie jak płukanki z solą czy olejki eteryczne, mogą wspomagać leczenie, ale nie zastąpią antybiotyków w ciężkich przypadkach.
- Regularna higiena jamy ustnej i wizyty u dentysty są kluczowe w zapobieganiu nawrotom zapalenia dziąseł.
Czym jest zapalenie dziąseł i kiedy potrzebny jest antybiotyk?
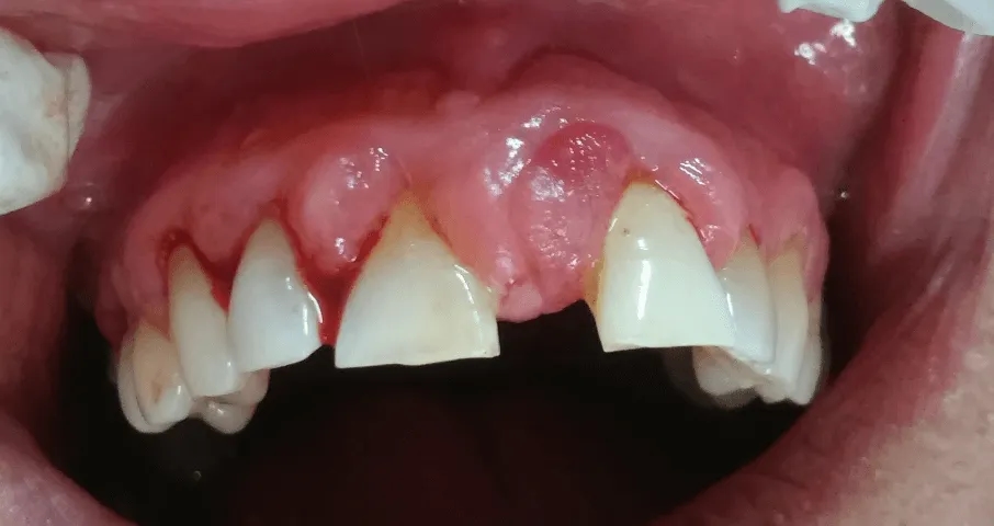
Zapalenie dziąseł to stan zapalny tkanek otaczających zęby, często spowodowany nagromadzeniem płytki nazębnej. Objawy obejmują zaczerwienienie, obrzęk, krwawienie podczas szczotkowania oraz ból. W łagodnych przypadkach wystarczy poprawa higieny jamy ustnej, ale w cięższych sytuacjach może być konieczny antybiotyk na zapalenie dziąseł.
| Objawy zapalenia dziąseł | Kiedy potrzebny jest antybiotyk? |
|---|---|
| Krwawienie dziąseł | Gdy infekcja jest zaawansowana |
| Ból i obrzęk | Gdy domowe metody nie pomagają |
| Nieprzyjemny zapach z ust | Gdy występuje ropna wydzielina |
Najczęściej stosowane antybiotyki na zapalenie dziąseł
W leczeniu zapalenia dziąseł najczęściej stosuje się trzy rodzaje antybiotyków: amoksycylinę, klindamycynę i metronidazol. Każdy z nich działa na inne grupy bakterii, dlatego wybór zależy od rodzaju infekcji.Amoksycylina jest popularna ze względu na szerokie spektrum działania. Klindamycyna jest często stosowana u pacjentów z alergią na penicylinę. Metronidazol natomiast skutecznie zwalcza bakterie beztlenowe, które mogą powodować ciężkie infekcje.
Skuteczność antybiotyków w leczeniu zapalenia dziąseł – opinie ekspertów
Według specjalistów, antybiotyki na zapalenie dziąseł są skuteczne, ale tylko w połączeniu z odpowiednią higieną jamy ustnej. Eksperci podkreślają, że kluczowe jest stosowanie leków zgodnie z zaleceniami lekarza, aby uniknąć oporności bakterii.
- Amoksycylina – skuteczna w 85% przypadków łagodnych infekcji.
- Klindamycyna – zalecana dla pacjentów z alergią na penicylinę.
- Metronidazol – najlepszy w przypadku infekcji beztlenowych.
Skutki uboczne antybiotyków na zapalenie dziąseł – na co uważać?
Stosowanie antybiotyków może powodować skutki uboczne, takie jak nudności, biegunka czy wysypka. U niektórych osób występują również reakcje alergiczne, dlatego ważne jest, aby poinformować lekarza o wszelkich uczuleniach.
Przeciwwskazania obejmują ciążę, karmienie piersią oraz niektóre choroby przewlekłe. W takich przypadkach lekarz może zalecić alternatywne metody leczenia.
Czytaj więcej: Jak długo goją się dziąsła pod protezę? Kluczowe etapy i porady po ekstrakcji
Domowe sposoby wspomagające leczenie zapalenia dziąseł
Oprócz antybiotyków, warto stosować domowe sposoby na zapalenie dziąseł, które mogą złagodzić objawy. Płukanki z solą, olejki eteryczne czy ziołowe napary to proste metody, które mogą przynieść ulgę.
- Płukanka z soli – redukuje obrzęk i działa antybakteryjnie.
- Olejek z drzewa herbacianego – łagodzi stany zapalne.
- Napary z rumianku – zmniejszają podrażnienia.
Jak wybrać odpowiedni antybiotyk? Porady od użytkowników forów
Wiele osób na forach internetowych dzieli się swoimi doświadczeniami z leczeniem zapalenia dziąseł. Użytkownicy często polecają najlepszy antybiotyk na zapalenie dziąseł, ale podkreślają, że kluczowe jest konsultowanie się z lekarzem.
Według pacjentów, amoksycylina jest najczęściej polecanym lekiem, ale niektórzy wskazują na skuteczność klindamycyny w cięższych przypadkach. Ważne jest, aby nie stosować antybiotyków na własną rękę, aby uniknąć powikłań.
Jeśli objawy zapalenia dziąseł nie ustępują po 3-4 dniach domowego leczenia, koniecznie skonsultuj się z dentystą. Nieleczone zapalenie może prowadzić do poważnych komplikacji.
Czy antybiotyk na zapalenie dziąseł jest dostępny bez recepty?
Wiele osób zastanawia się, czy antybiotyk na zapalenie dziąseł bez recepty jest dostępny w aptekach. W Polsce większość antybiotyków wymaga recepty, aby zapobiec ich nadużywaniu. Wyjątkiem są niektóre maści lub żele o działaniu miejscowym, ale ich skuteczność w ciężkich przypadkach jest ograniczona.
Jeśli objawy zapalenia dziąseł są silne i nie ustępują, nie zwlekaj z wizytą u dentysty. Samodzielne stosowanie leków może pogorszyć stan zdrowia.
Alternatywy dla antybiotyków w leczeniu zapalenia dziąseł
W łagodnych przypadkach zapalenia dziąseł można zastosować alternatywne metody leczenia. Płukanki ziołowe, zmiana diety czy regularne usuwanie płytki nazębnej mogą przynieść ulgę.
Skuteczność tych metod zależy od stopnia zaawansowania infekcji. W przypadku cięższych stanów zapalnych konieczne może być zastosowanie antybiotyku na zapalenie dziąseł, ale zawsze po konsultacji z lekarzem.
Jak długo stosować antybiotyk na zapalenie dziąseł?
Standardowy czas leczenia antybiotykami wynosi od 5 do 10 dni. Skrócenie terapii może prowadzić do nawrotu infekcji, a przedłużenie – do skutków ubocznych, takich jak osłabienie organizmu czy problemy żołądkowe.
Warto pamiętać, że nawet po ustąpieniu objawów należy kontynuować przyjmowanie leku zgodnie z zaleceniami lekarza. Przerwanie terapii może spowodować, że bakterie staną się oporne na działanie antybiotyku.
Najczęstsze błędy w leczeniu zapalenia dziąseł antybiotykami
Jednym z najczęstszych błędów jest samodzielne zmniejszanie dawki leku. Pacjenci często robią to, gdy objawy ustępują, ale takie postępowanie może prowadzić do nawrotu choroby.
Innym błędem jest stosowanie antybiotyków bez konsultacji z lekarzem. To może nie tylko opóźnić skuteczne leczenie, ale także zwiększyć ryzyko powikłań, takich jak infekcje grzybicze czy zaburzenia flory bakteryjnej.
Opinie pacjentów na forach – co mówią o antybiotykach na zapalenie dziąseł?
Na forach internetowych można znaleźć wiele opinii na temat jaki antybiotyk na zapalenie dziąseł forum. Użytkownicy często dzielą się swoimi doświadczeniami, wskazując na skuteczność amoksycyliny i klindamycyny.
- Amoksycylina – polecana przez 70% użytkowników jako skuteczny lek na łagodne infekcje.
- Klindamycyna – stosowana w cięższych przypadkach, ale wymaga ostrożności ze względu na skutki uboczne.
- Metronidazol – skuteczny w infekcjach beztlenowych, ale może powodować nudności.
Jak zapobiegać nawrotom zapalenia dziąseł po antybiotykoterapii?
Profilaktyka jest kluczowa, aby uniknąć nawrotów zapalenia dziąseł. Regularne szczotkowanie zębów, nitkowanie oraz stosowanie płynów do płukania jamy ustnej to podstawowe zasady.
Warto również pamiętać o regularnych wizytach u dentysty, co 6 miesięcy. Dzięki temu można wcześnie wykryć problemy i zapobiec ich rozwojowi, unikając konieczności ponownego stosowania antybiotyku na zapalenie dziąseł.
Kluczowe zasady skutecznego leczenia zapalenia dziąseł
Leczenie zapalenia dziąseł antybiotykiem wymaga precyzji i odpowiedzialności. Jak wynika z artykułu, standardowy czas terapii wynosi od 5 do 10 dni, a przerwanie jej może prowadzić do nawrotu infekcji. Ważne jest, aby stosować leki zgodnie z zaleceniami lekarza, unikając samodzielnego modyfikowania dawki.
Profilaktyka odgrywa kluczową rolę w zapobieganiu nawrotom. Regularna higiena jamy ustnej, wizyty u dentysty co 6 miesięcy oraz stosowanie płukanek ziołowych to skuteczne metody, które mogą zastąpić konieczność ponownego stosowania antybiotyku na zapalenie dziąseł. Opinie pacjentów na forach potwierdzają, że odpowiednie postępowanie po leczeniu znacząco zmniejsza ryzyko powikłań.
