Recesja dziąseł to problem, który może prowadzić do poważnych konsekwencji dla zdrowia jamy ustnej. Wiele osób myli ją z poważniejszymi schorzeniami, takimi jak nowotwory, co wywołuje niepotrzebny niepokój. W tym artykule wyjaśniamy, jak rozpoznać objawy recesji dziąseł, jakie są jej przyczyny oraz jak skutecznie jej zapobiegać i leczyć.
Recesja dziąseł to proces, w którym tkanka dziąseł cofa się, odsłaniając szyjki zębowe. Może to prowadzić do nadwrażliwości zębów, a nawet zwiększać ryzyko infekcji. Warto wiedzieć, że recesja dziąseł nie jest równoznaczna z nowotworem, ale nie należy jej bagatelizować. Wczesne rozpoznanie i odpowiednie działania mogą zapobiec dalszym komplikacjom.
Jeśli zauważysz u siebie niepokojące objawy, takie jak odsłonięte szyjki zębowe, krwawienie dziąseł czy ból, warto skonsultować się z dentystą. W artykule znajdziesz również praktyczne porady, jak dbać o dziąsła na co dzień, aby uniknąć problemów w przyszłości. Najważniejsze informacje:- Recesja dziąseł to cofanie się tkanki dziąseł, które prowadzi do odsłonięcia szyjek zębowych.
- Typowe objawy to nadwrażliwość zębów, krwawienie dziąseł i ból podczas szczotkowania.
- Recesja dziąseł nie jest nowotworem, ale wymaga leczenia, aby uniknąć powikłań.
- Głównymi przyczynami są nieprawidłowa higiena jamy ustnej, choroby przyzębia i urazy mechaniczne.
- Leczenie może obejmować zabiegi stomatologiczne, a profilaktyka to regularne wizyty u dentysty i prawidłowe szczotkowanie.
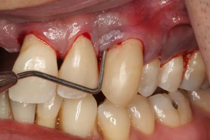
Czym jest recesja dziąseł i jak ją rozpoznać
Recesja dziąseł to proces, w którym tkanka dziąseł cofa się, odsłaniając korzenie zębów. Może to prowadzić do nadwrażliwości, a nawet zwiększać ryzyko infekcji. Warto wiedzieć, że recesja dziąseł nie jest równoznaczna z rak dziąseł objawy, ale wymaga uwagi, aby uniknąć poważniejszych problemów.
| Objaw | Opis |
|---|---|
| Odsłonięte szyjki zębowe | Widoczne korzenie zębów, które mogą powodować ból. |
| Nadwrażliwość | Ból podczas jedzenia zimnych lub gorących potraw. |
| Krwawienie dziąseł | Podczas szczotkowania lub nitkowania zębów. |
Typowe objawy recesji dziąseł: na co zwrócić uwagę
Jednym z pierwszych sygnałów recesji dziąseł są odsłonięte szyjki zębowe. To moment, gdy korzeń zęba staje się widoczny, co może prowadzić do dyskomfortu. Jeśli zauważysz, że Twoje zęby wydają się dłuższe, to może być znak, że dziąsła się cofają.
Nadwrażliwość zębów to kolejny częsty objaw. Może pojawić się ból podczas picia zimnych napojów lub jedzenia gorących potraw. Wrażliwość ta wynika z odsłonięcia korzeni, które nie są chronione przez szkliwo. Warto również zwrócić uwagę na krwawienie dziąseł, które może występować podczas szczotkowania.
Przyczyny recesji dziąseł: co prowadzi do cofania się dziąseł
Recesja dziąseł może być spowodowana wieloma czynnikami. Jednym z głównych jest nieprawidłowa higiena jamy ustnej, np. zbyt agresywne szczotkowanie. Choroby przyzębia, takie jak paradontoza, również odgrywają istotną rolę. Inne przyczyny to urazy mechaniczne, np. zbyt twarda szczoteczka, a nawet genetyka.
- Nieprawidłowa technika szczotkowania zębów.
- Choroby przyzębia, takie jak paradontoza.
- Urazy mechaniczne spowodowane np. zbyt twardą szczoteczką.
- Genetyczne predyspozycje do słabszych tkanek dziąseł.
Jak odróżnić recesję dziąseł od poważniejszych schorzeń
Objawy recesji dziąseł mogą przypominać te związane z poważniejszymi schorzeniami, takimi jak rak dziąseł objawy. W przypadku nowotworów jamy ustnej mogą pojawić się guzki, owrzodzenia lub długotrwałe krwawienie. Warto pamiętać, że recesja dziąseł nie powoduje takich zmian.Kluczowa różnica polega na tym, że recesja dziąseł nie prowadzi do powstawania guzów ani owrzodzeń. Jeśli zauważysz takie objawy, koniecznie skonsultuj się z lekarzem. Wczesne wykrycie raka dziąseł przyczyny może uratować życie.
Czytaj więcej: Co na bolące dziąsło od ósemki – skuteczne sposoby na ulgę i kiedy iść do dentysty
Metody leczenia recesji dziąseł: co możesz zrobić
Leczenie recesji dziąseł zależy od stopnia zaawansowania problemu. W łagodnych przypadkach wystarczy zmiana techniki szczotkowania i stosowanie specjalnych past. W bardziej zaawansowanych sytuacjach konieczne mogą być zabiegi chirurgiczne, takie jak przeszczep dziąseł.
Pamiętaj, że regularne wizyty u dentysty są kluczowe w zapobieganiu recesji dziąseł. Profesjonalne czyszczenie zębów może usunąć płytkę nazębną, która przyczynia się do problemów z dziąsłami.
Domowe sposoby na złagodzenie objawów recesji dziąseł
Płukanki ziołowe, np. z szałwii lub rumianku, mogą pomóc złagodzić stan zapalny dziąseł. Są one łatwe w przygotowaniu i działają kojąco na podrażnione tkanki. Warto również stosować płyny do płukania jamy ustnej z fluorem, które wzmacniają szkliwo.
Dieta bogata w witaminę C i wapń może wspierać zdrowie dziąseł. Unikaj słodkich przekąsek, które sprzyjają rozwojowi bakterii. Pamiętaj, że domowe sposoby nie zastąpią wizyty u dentysty, ale mogą wspomóc leczenie.Kiedy udać się do dentysty: sygnały ostrzegawcze
Jeśli zauważysz u siebie objawy, takie jak silne krwawienie, ból przy jedzeniu lub widoczne odsłonięcie korzeni, nie zwlekaj z wizytą u dentysty. Wczesna diagnoza może zapobiec dalszym komplikacjom. Niektóre sytuacje wymagają natychmiastowej konsultacji.
- Silne krwawienie dziąseł, które nie ustępuje po kilku dniach.
- Ból przy jedzeniu lub piciu, który utrudnia codzienne funkcjonowanie.
- Widoczne odsłonięcie korzeni zębów, które powoduje dyskomfort.
Profilaktyka recesji dziąseł: jak chronić dziąsła na co dzień
Prawidłowa technika szczotkowania to podstawa. Używaj miękkiej szczoteczki i delikatnych ruchów, aby nie podrażniać dziąseł. Nitkowanie zębów również jest ważne, ponieważ usuwa resztki jedzenia z przestrzeni międzyzębowych.
Regularne wizyty u dentysty co 6 miesięcy pozwalają na wczesne wykrycie problemów. Profesjonalne czyszczenie zębów usuwa kamień nazębny, który może prowadzić do recesji dziąseł. Pamiętaj, że profilaktyka to najlepszy sposób na zdrowe dziąsła.
Najczęstsze mity na temat recesji dziąseł
Wokół recesji dziąseł narosło wiele mitów, które mogą wprowadzać w błąd. Niektóre osoby uważają, że problem ten dotyczy tylko starszych ludzi, co nie jest prawdą. Inni sądzą, że recesja dziąseł jest nieodwracalna, co również nie do końca odpowiada rzeczywistości.
| Mit | Fakt |
|---|---|
| Recesja dziąseł dotyczy tylko osób starszych. | Może wystąpić w każdym wieku, nawet u młodych osób. |
| Recesja dziąseł jest nieodwracalna. | Wczesne wykrycie pozwala na skuteczne leczenie. |
| Recesja dziąseł zawsze prowadzi do utraty zębów. | Dzięki odpowiedniej opiece można uniknąć poważnych konsekwencji. |
Jakie badania wykonuje się przy podejrzeniu recesji dziąseł
Diagnostyka recesji dziąseł zaczyna się od dokładnego badania stomatologicznego. Dentysta ocenia stan dziąseł, mierzy głębokość kieszonek dziąsłowych i sprawdza, czy nie ma oznak stanu zapalnego. To pierwszy krok do postawienia właściwej diagnozy.
W niektórych przypadkach konieczne są dodatkowe badania, takie jak zdjęcia rentgenowskie. Pozwalają one ocenić stan kości i korzeni zębów. Jeśli istnieje podejrzenie poważniejszych schorzeń, np. raka dziąseł objawy, dentysta może zlecić biopsję.
Recesja dziąseł a inne choroby przyzębia: podobieństwa i różnice
Recesja dziąseł często mylona jest z innymi chorobami przyzębia, takimi jak paradontoza. Obie dolegliwości prowadzą do cofania się dziąseł, ale mają różne przyczyny. Paradontoza jest wynikiem infekcji bakteryjnej, podczas gdy recesja może być spowodowana urazami mechanicznymi.
- Recesja dziąseł często wynika z nieprawidłowej higieny lub urazów.
- Paradontoza jest związana z infekcją bakteryjną i stanem zapalnym.
- Objawy obu schorzeń mogą być podobne, ale leczenie różni się.
Dlaczego nie należy bagatelizować recesji dziąseł
Bagatelizowanie recesji dziąseł może prowadzić do poważnych konsekwencji. Nieleczona recesja może spowodować utratę zębów, a nawet problemy z kością szczękową. Warto pamiętać, że wczesne wykrycie problemu pozwala na skuteczne leczenie.
Długoterminowe skutki recesji dziąseł obejmują nie tylko utratę zębów, ale także problemy z żuciem i mówieniem. Dlatego tak ważne jest, aby nie lekceważyć pierwszych objawów, takich jak nadwrażliwość czy krwawienie dziąseł. Regularne wizyty u dentysty to najlepszy sposób na uniknięcie poważnych komplikacji.
Recesja dziąseł: klucz do zdrowia jamy ustnej
Recesja dziąseł to problem, który może prowadzić do poważnych konsekwencji, jeśli zostanie zbagatelizowany. Jak pokazano w artykule, wczesne wykrycie objawów, takich jak odsłonięte szyjki zębowe czy nadwrażliwość, pozwala na skuteczne leczenie. Warto pamiętać, że recesja nie jest równoznaczna z rak dziąseł objawy, ale wymaga równie dużej uwagi.
Artykuł podkreśla, że diagnostyka recesji dziąseł opiera się na dokładnym badaniu stomatologicznym, a czasem również na zdjęciach rentgenowskich. Dzięki temu można odróżnić recesję od innych chorób przyzębia, takich jak paradontoza, która ma inne przyczyny i wymaga innego leczenia. Kluczowe jest również obalenie mitów, np. że recesja dotyczy tylko osób starszych.
Nie należy lekceważyć recesji dziąseł, ponieważ może ona prowadzić do utraty zębów i problemów z kością szczękową. Regularne wizyty u dentysty oraz prawidłowa higiena jamy ustnej to najlepsze sposoby na uniknięcie poważnych komplikacji. Warto działać szybko, aby zachować zdrowie dziąseł i zębów na dłużej.
