Co to jest afta w jamie ustnej? Przyczyny, objawy i skuteczne sposoby leczenia
Dowiedz się, co to jest afta w jamie ustnej, poznaj jej przyczyny, objawy oraz skuteczne metody leczenia. Sprawdź, jak zapobiegać aftom i łagodzić ból domowymi sposobami.
Jestem lekarką dentystką z doświadczeniem w nowoczesnych metodach leczenia. Swoją wiedzę opieram na badaniach naukowych i praktyce w gabinecie. W tym portalu dzielę się wskazówkami dotyczącymi higieny jamy ustnej, odpowiadam na pytania pacjentów i pokazuję, że zdrowy uśmiech to fundament pewności siebie.
Co to jest afta w jamie ustnej? Przyczyny, objawy i skuteczne sposoby leczenia
Dowiedz się, co to jest afta w jamie ustnej, poznaj jej przyczyny, objawy oraz skuteczne metody leczenia. Sprawdź, jak zapobiegać aftom i łagodzić ból domowymi sposobami.
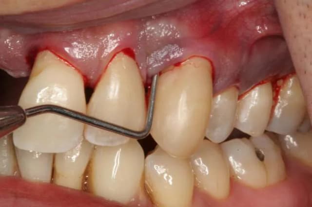
Rak dziąseł objawy: Jak rozpoznać niepokojące symptomy i chronić zdrowie
Rak dziąseł objawy: sprawdź, jak rozpoznać wczesne symptomy, przyczyny i metody leczenia. Dowiedz się, jak odróżnić recesję dziąseł od poważniejszych schorzeń.
Objawy ropowicy dna jamy ustnej: jak rozpoznać i uniknąć poważnych powikłań
Poznaj ropowica dna jamy ustnej objawy, przyczyny, leczenie i metody zapobiegania. Dowiedz się, jak uniknąć poważnych powikłań i szybko zareagować na infekcję.
Jak skutecznie pozbyć się żółtych zębów – domowe i profesjonalne metody
Dowiedz się, jak skutecznie pozbyć się żółtych zębów – sprawdzone domowe sposoby i profesjonalne metody wybielania. Zadbaj o biały uśmiech już dziś!
Jak wyglądają dziąsła przy ząbkowaniu górnych jedynek? Objawy i porady dla rodziców
Dowiedz się, jak wyglądają dziąsła przy ząbkowaniu górnych jedynek u dziecka. Poznaj typowe objawy, porady i sposoby na złagodzenie bólu. Sprawdź, kiedy warto skonsultować się z lekarzem.
Co to jest recesja dziąseł? Przyczyny, objawy i skuteczne metody leczenia
Poznaj, co to jest recesja dziąseł, jej przyczyny i objawy. Sprawdź skuteczne metody leczenia oraz jak dbać o zdrowie jamy ustnej.
Ile kosztuje plomba u dentysty? Sprawdź, jak uniknąć wysokich kosztów leczenia
Ile kosztuje plomba u dentysty? Sprawdź ceny plomb kompozytowych, amalgamatowych i innych. Dowiedz się, jak oszczędzać na leczeniu zębów w 2023 roku.
Czy z opryszczką można iść do dentysty? Ryzyka i zalecenia przed wizytą
Czy z opryszczką można iść do dentysty? Sprawdź, jakie są ryzyka i zalecenia przed wizytą. Dowiedz się, jak przygotować się do leczenia i zadbać o higienę jamy ustnej.
Skuteczne sposoby na ból dziąseł – jak szybko złagodzić dyskomfort
Skuteczne metody na ból dziąseł – sprawdź, co jest dobre na ból dziąsła. Domowe sposoby, płukanki i leki bez recepty, które przyniosą ulgę.
Jak powinno wyglądać dziąsło po wyrwaniu zęba? Ostrzeżenia i porady dla prawidłowego gojenia
Dowiedz się, jak powinno wyglądać dziąsło po wyrwaniu zęba, jakie są etapy gojenia i na co zwrócić uwagę. Praktyczne porady dotyczące pielęgnacji i unikania komplikacji.