Wyrzynanie zębów jak wygląda: objawy, etapy i sposoby na złagodzenie bólu
Dowiedz się, jak wygląda wyrzynanie zębów u dzieci i dorosłych. Poznaj objawy, etapy oraz skuteczne sposoby na złagodzenie bólu. Sprawdź, jak pomóc przy wyrzynaniu zębów!
Jestem lekarką dentystką z doświadczeniem w nowoczesnych metodach leczenia. Swoją wiedzę opieram na badaniach naukowych i praktyce w gabinecie. W tym portalu dzielę się wskazówkami dotyczącymi higieny jamy ustnej, odpowiadam na pytania pacjentów i pokazuję, że zdrowy uśmiech to fundament pewności siebie.
Wyrzynanie zębów jak wygląda: objawy, etapy i sposoby na złagodzenie bólu
Dowiedz się, jak wygląda wyrzynanie zębów u dzieci i dorosłych. Poznaj objawy, etapy oraz skuteczne sposoby na złagodzenie bólu. Sprawdź, jak pomóc przy wyrzynaniu zębów!
Które zęby są stałe od razu? Proces wymiany zębów mlecznych na stałe u dzieci
Dowiedz się, które zęby są stałe od razu i jak przebiega wymiana zębów mlecznych na stałe u dzieci. Poznaj kolejność wyrzynania i schemat rozwoju zębów stałych.
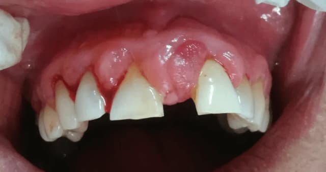
Skuteczne sposoby na zapalenie dziąseł – jak leczyć i uniknąć bólu
Dowiedz się, czym leczyć zapalenie dziąseł – sprawdź domowe sposoby, leki i porady, jak uniknąć bólu. Poznaj objawy i skuteczne metody zapobiegania.
Kiedy założyć dziecku stały aparat na zęby? Najlepszy wiek i ważne wskazania
Dowiedz się, kiedy założyć dziecku stały aparat na zęby, jaki jest najlepszy wiek i jakie są wskazania. Poznaj korzyści z leczenia ortodontycznego u dzieci.
Czy z aftą można iść do dentysty? Sprawdź, czy to bezpieczne i co warto wiedzieć
Czy z aftą można iść do dentysty? Dowiedz się, jak afty wpływają na wizytę u stomatologa i jakie są bezpieczne metody ich łagodzenia.
Jaki antybiotyk na zapalenie dziąseł działa najlepiej? opinie i porady
Dowiedz się, jaki antybiotyk na zapalenie dziąseł działa najlepiej. Poznaj opinie ekspertów, domowe sposoby i skuteczne metody leczenia. Sprawdź, jak uniknąć nawrotów!
Ile naprawdę kosztuje aparat na zęby? Sprawdź, jak uniknąć ukrytych kosztów!
Ile kosztuje aparat na zęby? Sprawdź ceny aparatów stałych, ruchomych i przezroczystych nakładek. Dowiedz się, jak uniknąć ukrytych kosztów leczenia ortodontycznego!
Objawy włókniaka jamy ustnej – jak rozpoznać i czy to groźne?
Dowiedz się, jakie są objawy włókniaka jamy ustnej, jak go rozpoznać i czy wymaga leczenia. Sprawdź, gdzie występuje i kiedy udać się do lekarza.
Objawy zapalenia jamy ustnej: jak rozpoznać i złagodzić ból oraz dyskomfort
Dowiedz się, jakie są objawy zapalenia jamy ustnej, jego przyczyny i skuteczne sposoby leczenia. Sprawdź domowe metody na złagodzenie bólu i dyskomfortu.
Co na ropę w dziąśle – domowe sposoby i skuteczne leczenie ropnia
Dowiedz się, co na ropę w dziąśle – sprawdź domowe sposoby, objawy i skuteczne metody leczenia ropnia. Zadbaj o zdrowie jamy ustnej już dziś!